Banner image placeholder
Banner image

Identifying Distinct Imaging Ecologies in Male and Female Glioblastomas


Authors: Kyle W. Singlton,  Ph.D., Thomas Bencomo, Carly Rose, Andrea Hawkins-Daarud, Ph.D., and Kristin R. Swanson, Ph.D.

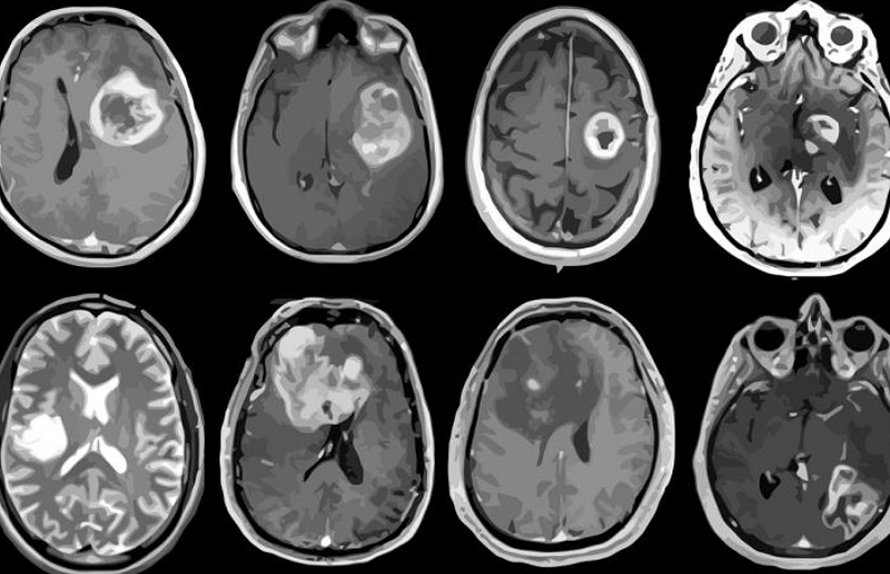
Background: Glioblastoma is a brain cancer that is very aggressive in nature and known for its short median survival time (between 12 and 14 months).  We focused on looking at the different imaging modalities (T1, T1Gd, T2, and FLAIR) because each give a different look at the tumor. For instance, T1 with gadolinium visualizes the bulk of the tumor and T2 shows edema and immune response from invading tumor cells. Putting together these four images from one single brain scan can present the big picture and provide more information than one single scan on its own.
Sex is rarely considered in treatment plans even though men have a higher incidence of Glioblastoma, 1.6 to 1, than women, in addition to longer survival time in women. 

Hypothesis: We hypothesize that imaging patterns may be different between the sexes and will give insight into the underlying biology.

Data and Image Processing: We included 52 cases in this analysis, 32 males and 20 females. All images were from pretreatment and each case had to have had at least 2 MRI sequences listed above on the same date.  For the data standardization process, there was registration, brain masking, CSF masking, normalization, tumor vs. normal labeling, then feature extraction. The features taken from each voxel were mean, standard deviation, skew, kurtosis, and range.



Intensity Feature Correlations: Mean intensities and image correlations for each imaging pair from each patient case and each image feature were calculated for the whole brain. Correlation between the mean T2 and FLAIR intensities show different in the tumor region of the brain.

Predictability from Imaging Features: We trained both a logistic regression and forest models from normal brain and tumor regions using all features. The best model included T1Gd and T2 features using random forest. In addition, it was found that mean T2 intensity was the most important predictor.

Conclusion: The results of this study strongly support the hypothesis that there are significant differences existing in imaging patterns between male and females. 
Share

Translate to